天游线路检测中心 快速冷冻法(冷冻含水样品)
良好的快速冷冻可以最大限度地减少冷冻效应导致的微观结构变化。能够保留抗原性。含水量高的样品可以冷冻,而不受天游线路检测中心形成的影响。我们也仅接受冻结请求。冷冻样品可以安全运输并储存在液氮中。 (干货等运输和储存容器由客户负责。)
目标方法
浸泡冷冻法(泥氮)
泥浆制氮装置(SNP)
使用液态氮(固态氮和液态氮的混合物)进行浸入式冷冻,可以实现良好的冷冻,因为不会发生液态氮的沸腾现象。样本大小没有限制,因此也可以冷冻大样本。除非另有说明,我们的冷冻断裂副本方法均使用此方法。
快速冷冻法(液体乙烷)
每次点击费用
放置在 TEM 网格上的样品可以很好地冷冻。对冷冻透射电镜法、冷冻干燥法、负染料冷冻干燥法等有效
加压冷冻法
徕卡 EM-PACT2
通过在高压(2000mbar)下注入液氮来快速冷却样品,从而在大范围(~200um)内实现无天游线路检测中心冷冻。对于无法使用防冰剂的样品有效。您可以获得每次高压冻结的压力和冷却速率图表,因此您可以确认正在发生快速冷却。
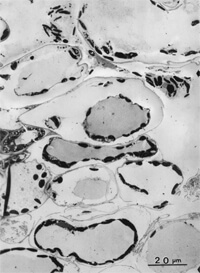
天游线路检测中心的影响
样品:乳液
天游线路检测中心生成:是粒子聚集在天游线路检测中心之间的间隙中,并不反映其原始的分散状态。
天游线路检测中心生成:无可以观察样品在液体中的原始分散状态。
示例:菠菜
天游线路检测中心生成:是粒子聚集在天游线路检测中心之间的间隙中,并不反映分散的原始状态。
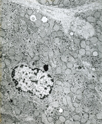
加压冷冻法与浸泡法的比较
样品:肝脏(小鼠)
化学固定+浸泡法
加压冷冻法
压力冷冻法不会引起组织肿胀并保留细胞内基质。
