天游线路检测中心 在树脂 CLEM 中使用荧光再生剂
SM2021-03
近年来,人们利用荧光染料和荧光蛋白的光学显微镜观察了各种生物现象和生物物质的定位。 CLEM观察是使用光学显微镜和电子显微镜观察同一样品,通过重叠观察图像来整合各装置获得的信息的方法。因此,需要极高的精度来叠加这些图像。然而,用光学显微镜观察到的荧光染料和荧光蛋白在电子显微镜样品处理(固定、脱水、树脂包埋等)过程中会失去荧光,因此光学显微镜和电子显微镜必须在不同的条件下进行。CLEM-红*1 用戊二醛或四氧化锇固定,然后用荧光再生剂(TUK 溶液)固定。*2)处理后荧光得以恢复,即使在树脂包埋后仍能保持其荧光。通过使用 CLEM-Red 和荧光再生剂,即使是树脂包埋后的超薄切片也可以使用荧光显微镜进行观察,从而可以实现高精度的 CLEM 观察。
协议

*1,2CLEM-Red,TUK 溶液是 Fujifilm Wako Pure Chemical Industries, Ltd 的产品
观察结果
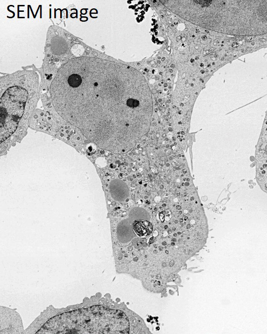
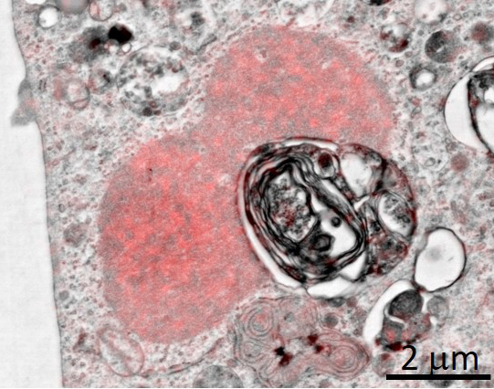
通过膜状结构包围细胞内不必要的细胞器和蛋白质来分解细胞内的现象称为自噬。在这种自噬中,包围不需要的物质的膜状结构被称为自噬体,并且有人认为p62蛋白参与了该自噬体的形成。对过表达p62和CLEM-Red融合蛋白的培养HeLa细胞进行In Resin CLEM观察。结果,CLEM-red-p62融合蛋白定位于细胞的油滴结构上,并且观察到在邻近区域形成自噬体。




样品:Hela 细胞,pCLEM-Red-p62共焦显微镜:A1(尼康)扫描电子显微镜:JSM-7900F (JEOL)
提供示例顺天堂大学教授谷田伊圣内山康夫教授
参考
Tanida I、Haruta T、Suga M、Takei S、Takebe A、Furuta Y、Yamaguchi J、OlivaTrejo JA,Kakuta S,Uchiyama Y。膜结构直接接触具有 p62/SQSTM1 主体。J 组织化学细胞化学。 2021 年 6 月;69(6):407-414。
- 点击此处查看此页面的可打印 PDF。点击打开新窗口。
PDF 153MB
