天游线路检测中心 由于冷却温度的差异而观察面条的横截面状态
SM065
对含有水分的样品进行SEM观察时,为了保持样品形状,最好在冷却状态下进行观察。然而,根据设备的安装位置,可能难以使用液氮。因此,在本应用笔记中,我们验证了使用液氮以外的制冷剂的冷却方法。使用 LV 冷却支架,使用四种不同的制冷剂(冷却温度)对面条进行横截面观察。
面条横截面比较
在相同条件下煮干面条后,将其冷却至表中列出的各个温度并切割或分割。观察在低真空模式(LV)下进行。
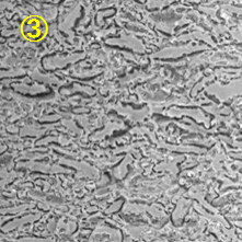
| 冷却温度 | ①4°C(冰箱) | ②-20°C(冷冻) | ③-79°C(干冰) | ④-196℃(液氮) |
| 横截面准备 | 横截面切割装置(CSCIII型) | 横截面切割装置(CSCIII型) | 冻裂装置 | 冻裂装置 |
| 采集放大倍数 ×500LV非沉积 低压冷却支架使用 | ![]() |
![]() |
![]() |
![]() |
| 观察方法 | 将LV冷却支架放入冰箱中冷却并观察。 | 将LV冷却支架在冰箱中冷却并观察。 | LV冷却支架用干冰冷却并观察。 | 用液氮冷却LV冷却支架并进行观察。 |
| 横截面评估 | 由于未冻结,因此用剃刀切割表面。 (样品粘稠,淀粉与其他部分界限不清) | 由于面条冷冻不充分,在制作横截面时,面条的淀粉颗粒会剥落。淀粉颗粒的粒径很容易测量。 | 冻裂是可能的。加热前,还可以确认淀粉粒周围存在冰晶。 | 冻裂是可能的。用液氮冷冻时,可以看到淀粉颗粒埋在冰晶中。 |
| 注释 | 4℃时,观察到水蒸发。可以检查成分分布。无法获得冰晶等详细信息。 | 即使在-20℃,也可以观察到水的蒸发。根据细颗粒使用各种剥离方法。 | 在干冰温度下,升华时间极短。在冰冻条件下观察极其困难。 | 用液氮冷却可以稳定观察。 |
| 结果 | 坚不可摧。观察时样品是干燥的。 | 无法被冻结或破坏。观察时样品是干燥的。 | 可以被冻结和骨折。在冰冻条件下很难观察。可以观察冻干状态。 | 可以被冻结和骨折。可以在冷冻状态下观察。 |
结论
液氮对于冷冻条件下的观察至关重要。然而,根据样品和目的,发现即使用干冰冷却也可以获得一些结果。
用干冰冷却面条时冷冻和冻干状态的比较
使用LV冷却支架观察时,样品温度逐渐升高,水份升华,导致观察过程中处于冻干状态。在这种状态下,样品可能会发生变形。特别是,当使用干冰冷却时,升华的时间很短,因此通常在冷冻干燥状态下进行观察。下图是面条从冷冻状态到冻干状态时的形状。在冷冻状态下,可以观察到淀粉颗粒被埋在冰晶中,而在冻干状态下,淀粉颗粒周围的冰晶升华,产生空隙。虽然可以检查冷冻干燥状态下淀粉颗粒的大小,但很难看到冰晶的状态。
- 点击此处查看此页面的可打印 PDF点击打开新窗口。
PDF 902KB




